日前,记者接到河北秦皇岛的周先生反映,其子小明(化名)是秦皇岛市职业技术学校的高一学生,今年3月19日早上8时20分左右,小明因前一晚在宿舍说话被罚站,最终被教工扔起摔伤,造成右胳膊粉碎性骨折,右桡神经损伤。
秦皇岛市公安局出具的伤情鉴定显示,小明伤情达到轻伤一级。目前,秦皇岛市公安局山海关分局已经对小明被故意伤害一案立案调查。周先生及其律师称,目前涉事教工已经被批捕。

5月23日,涉事教工李某的父亲告诉记者,李某已于4月20日被刑事拘留,但他表示当时是“正常训练”期间,李某在拉小明起来时不慎造成小明摔伤。他认为这是过失而不是故意伤害。
对于记者的采访,秦皇岛市职业技术学校校长葛宏伟表示,此事需学校核实清楚再作回应。秦皇岛市公安局山海关分局以及路南派出所则未透露该案的相关情况。
职校学生右臂粉碎性骨折
家长称“系体罚”,涉事教工已被批捕
周先生向记者描述的过程为:今年3月18日晚上9点30分左右,小明在宿舍熄灯以后和同宿舍2名同班级学生说话。第二天早8点20分左右,被秦皇岛市职业技术学校教工李某在上课期间叫到学校操场进行罚站,同时被罚站军姿的还有同班的其他3名同学。
周先生称,当天上午11点30分左右,李某要求小明坐下休息,因站的时间太久,小明便躺下休息,此后李某一手拎起小明脖领一手拎起大腿,直接“将小明抬起离地然后扔出”,小明被摔在地上,导致胳膊摔伤。

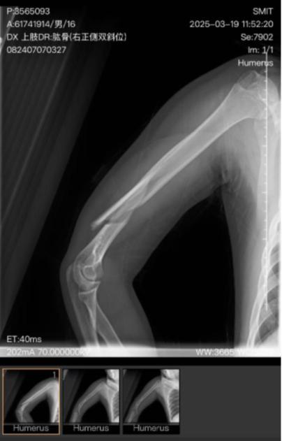
秦皇岛市第一医院一份手术记录显示,3月21日,小明因右肱骨粉碎性骨折、右桡神经损伤进行手术治疗。
周先生说,当时,他以为孩子是自己摔伤,后来听了孩子描述是被教工造成的伤害才报警。但学校否认体罚,称是在进行“军训”。周先生还说,孩子此前反映过遭到李某体罚和殴打。3月份报警以后警方立案,目前李某已被批捕。
秦皇岛市公安局山海关分局路南派出所3月21日出具的一份《行政案件立案告知书》显示,“秦皇岛市职业技术学校操场打架案已被我单位立案。”
4月14日,秦皇岛市公安局山海关分局出具《鉴定意见通知书》显示,小明的人体损伤程度达到轻伤一级。16日,山海关分局出具《立案告知书》,称小明被故意伤害一案符合立案条件,现已立案。

周先生告诉记者,现在小明还在治疗康复中,后期治疗和二次手术也没有确定,所以没有形成赔偿诉求。案件也在等待警方调查。
校方称需要调查清楚再回应
教工父亲发声:是过失不是故意
5月23日,秦皇岛市职业技术学校校长葛宏伟告诉记者,此事需要学校核实清楚再做回应。记者询问当时的详细情形是训练还是体罚,李某的具体身份是什么,过往是否存在体罚和殴打学生的情况,暂未得到回应。记者还尝试联系此前负责与周先生沟通的一位校方主任,但电话无人接听。
负责该案的秦皇岛市公安局山海关分局路南派出所一位民警表示,暂不透露相关情况;山海关分局负责新闻宣传的民警也称不便透露相关案件。
秦皇岛市教育局一位工作人员表示,已了解到确有此事,但具体情况需要了解后再做回应。
5月23日,记者联系到李某父亲。其父亲介绍,李某今年23岁,没有教师资格证,此前告诉家里自己在学校是宿管。李某事后告诉其父亲,当时是在“军训”,小明在休息时候躺下,“让他起来他不起来,拽他起来,他往后轱辘,一用力把他拽起来(时)摔倒。”目前,校方已经请了律师。
周先生的律师、北京京雄律师事务所董飞龙律师告诉记者,目前涉事教工已经被批捕,小明有神经方面的损伤,伤情在等待二次鉴定,案件警方正在调查。